
Leqembi, un medicament pentru Alzheimer nu obţine recomandarea autorităţii europene de reglementare / EMA a fost preocupată de un tip de umflare temporară a creierului observată în timpul terapiei
Autoritatea de reglementare a medicamentelor din Uniunea Europeană a respins vineri tratamentul pentru boala Alzheimer în stadiu incipient, de la producătorii Eisai şi Biogen, afirmând că riscul de umflături cerebrale potenţial letale nu a depăşit beneficiul redus al medicamentului asupra încetinirii declinului cognitiv, transmite News.ro.
Urmărește cele mai noi producții video G4Media
- articolul continuă mai jos -
Experţii comitetului pentru medicamente de uz uman (CHMP) din cadrul Agenţiei Europene a Medicamentului (EMA) au recomandat neacordarea unei autorizaţii de introducere pe piaţă pentru Leqembi (lecanemab), un medicament destinat tratamentului bolii Alzheimer.
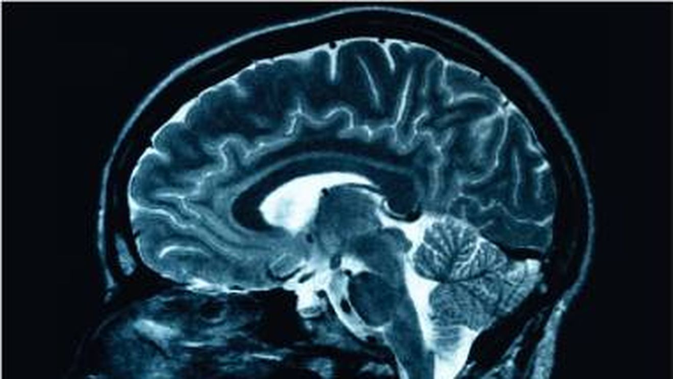
Comitetul a considerat că efectul observat al tratamentului asupra întârzierii declinului cognitiv nu contrabalansează riscul de reacţii adverse grave asociate medicamentului, în special apariţia frecventă a anomaliilor imagistice legate de amiloid (ARIA), care implică umflături şi potenţiale sângerări în creierul pacienţilor care au primit terapia.
Producătorii Eisai şi Biogen au declarat că vor solicita reexaminarea recomandării.
„Suntem extrem de dezamăgiţi de avizul negativ al CHMP şi înţelegem că acest lucru poate fi dezamăgitor şi pentru comunitatea mai largă a bolii Alzheimer”, a declarat Lynn Kramer, Chief Clinical Officer al Eisai.
Tratamentul, lecanemab, este primul medicament care a arătat că poate încetini progresia Alzheimer, şi a fost autorizat complet şi compensat în Statele Unite, din luna iulie a anului trecut, şi ar fi trebuit să fie şi primul medicament din Europa care să trateze boala neurodegenerativă şi nu simptomele acesteia, informează Reuters.
Medicamentul este un anticorp monoclonal, cu administrare intravenoasă, conceput pentru a elimina depozitele de amiloid care nu s-au adunat încă în aglomerări.
Infuzia, administrată de două ori pe lună, elimină aglomerările lipicioase din creier ale proteinei beta-amiloid, considerată a fi un semn distinctiv al bolii Alzheimer.
Principalele preocupări ale comitetului EMA au fost legate de anomaliile amiloide evidenţiate imagistic, un tip de umflare temporară a creierului frecvent observată cu medicamente care elimină amiloidul din creier.
„Gravitatea acestui efect secundar ar trebui să fie luată în considerare în contextul efectului mic observat cu medicamentul”, a declarat autoritatea de reglementare.
În studiile clinice, medicamentul a încetinit declinul cognitiv cu 27% la pacienţii cu Alzheimer timpuriu, comparativ cu un placebo.
„Credem cu tărie că datele privind lecanemab prezentate la CHMP demonstrează în mod clar potenţialul său de a încetini progresia bolii Alzheimer”, a declarat şeful departamentului de dezvoltare al Biogen, Priya Singhal.
Recomandarea comitetului trebuie să fie susţinută oficial de Comisia Europeană, care de obicei urmează decizia experţilor autorităţii de reglementare.
Maladia Alzheimer, cea mai frecventă formă de demenţă, este o tulburare neurodegenerativă progresivă şi se estimează că afectează peste 50 de milioane de oameni în întreaga lume.
În Europa, şapte milioane de persoane trăiesc cu boala care afectează grav creierul, iar această cifră este de aşteptat să se dubleze până în 2050, potrivit organizaţie non-profit, Alzheimer’s Europe.
Donează lunar pentru susținerea proiectului G4Media
Donează suma dorită pentru susținerea proiectului G4Media
CONT LEI: RO89RZBR0000060019874867
Deschis la Raiffeisen Bank