Redacția

Compania Municipală Iluminat Public vrea să închirieze decoraţiuni de iluminat festiv, cu aproximativ 8 milioane de lei, pentru centrul Capitalei

Compania Municipală Iluminat Public vrea să închirieze decoraţiuni de iluminat festiv, cu aproximativ 8 milioane de lei, pentru centrul Capitalei

Redacția 25 oct.

Compania Municipală Iluminat Public Bucureşti SRL anunţă pe SEAP licitaţie pentru închiriere decoraţiuni iluminat festiv cu o valoare totală estimată la aproximativ opt milioane de lei. Obiectul achiziţiei este reprezentat de închiriere de decoraţiuni iluminat festiv pe perioada Sărbătorilor de iarnă 2025-2026 pentru axa centrală şi centrul oraşului. În acest an se vor închiria „motive […]

O parte din bijuteriile care nu au fost furate de la Muzeul Luvru, cât și unele dintre cele mai valoroase piese, transferate la Banca Franţei

O parte din bijuteriile care nu au fost furate de la Muzeul Luvru, cât și unele dintre cele mai valoroase piese, transferate la Banca Franţei

Redacția 25 oct.

O parte din bijuteriile care nu au fost furate, precum şi unele dintre cele mai valoroase piese din Muzeul Luvru au fost transferate vineri dimineaţă la Banca Franţei, potrivit unei surse din Poliţie, care a confirmat o informaţie difuzată de RTL, relatează Le Figaro, citată de News.ro. Operaţiunea, desfăşurată sub escortă motorizată, a mobilizat Compania […]

Campioana CSM Bucureşti, a treia înfrângere din grupa B a Ligii Campionilor la handbal feminin

Campioana CSM Bucureşti, a treia înfrângere din grupa B a Ligii Campionilor la handbal feminin

Redacția 25 oct.

Campioana CSM Bucureşti a fost învinsă duminică, în deplasare, de formaţia Krim Ljubljana, scor 31-27 (15-11), în etapa a V-a din grupa B a Ligii Campionilor, transmite News.ro. Principalele marcatoare ale partidei au fost Horacek 7 goluri, Egger 4, Abina 3, pentru Krim, respectiv Hansen 9, Maslova 7, Ostergaard 3, pentru CSM. În partidele anterioare, […]

Europarlamentarul Dan Barna a fost reales vicepreşedinte al ALDE

Europarlamentarul Dan Barna a fost reales vicepreşedinte al ALDE

Redacția 25 oct. 1

Europarlamentarul Dan Barna a fost reales, sâmbătă, cu cel mai mare număr de voturi, în funcţia de vicepreşedinte al ALDE, transmite Agerpres. „Mulţumesc prietenilor liberali pentru realegerea în funcţia de vicepreşedinte al ALDE Party – Liberals and Democrats for Europe! Această reconfirmare mă onorează şi voi lupta pentru misiunea noastră faţă de valorile liberale şi […]

Germania demolează turnurile de răcire ale Centralei Nucleare de la Gundremmingen, în cadrul abandonării energiei nucleare. Desfiinţarea urmează să se încheie în 2040

Germania demolează turnurile de răcire ale Centralei Nucleare de la Gundremmingen, în cadrul abandonării energiei nucleare. Desfiinţarea urmează să se încheie în 2040

Redacția 25 oct.
Pakistanul avertizează asupra unui ”război deschis” cu Afganistanul dacă negocierile de pace eşuează

Pakistanul avertizează asupra unui ”război deschis” cu Afganistanul dacă negocierile de pace eşuează

Redacția 25 oct.

Ministrul pakistanez al apărării, Khawaja Muhammad Asif, a declarat sâmbătă că este convins că Afganistanul îşi doreşte pacea, dar că eşecul de a ajunge la un acord în cadrul negocierilor de la Istanbul ar însemna un „război deschis”, la câteva zile după ce ambele ţări au convenit asupra unui armistiţiu în urma unor confruntări armate […]

Nicuşor Dan, după întâlnirea cu echipa de la UMF Iaşi, care a realizat cea mai mică inimă artificială: ”Un proiect cu potenţial uriaş. Dacă testele se încheie cu succes, România devine prima ţară din Europa de Est capabilă să dezvolte o tehnologie proprie”

Nicuşor Dan, după întâlnirea cu echipa de la UMF Iaşi, care a realizat cea mai mică inimă artificială: ”Un proiect cu potenţial uriaş. Dacă testele se încheie cu succes, România devine prima ţară din Europa de Est capabilă să dezvolte o tehnologie proprie”

Redacția 25 oct.
Schi alpin: Austriaca Julia Scheib a câştigat slalomul uriaş la Sölden / Mikaela Shiffrin, în afara podiumului

Schi alpin: Austriaca Julia Scheib a câştigat slalomul uriaş la Sölden / Mikaela Shiffrin, în afara podiumului

Redacția 25 oct.

Schioarea austriacă Julia Scheib a câştigat sâmbătă proba de slalom uriaş din deschiderea sezonului Cupei Mondiale la Sölden, în Austria, înregistrând la 27 de ani prima sa victorie în circuitul mondial, relatează AFP, citată de News.ro. Cu un avans considerabil la finalul primei manşe, Scheib a rezistat în a doua şi s-a impus în faţa […]

Mama unei fetiţe de 2 luni acuză neglijenţă şi lipsă de empatie la Spitalul Judeţean din Buzău / Reacţia unităţii medicale: „Acuzatii nefondate care pot afecta încrederea pacienţilor”

Mama unei fetiţe de 2 luni acuză neglijenţă şi lipsă de empatie la Spitalul Judeţean din Buzău / Reacţia unităţii medicale: „Acuzatii nefondate care pot afecta încrederea pacienţilor”

Redacția 25 oct.
Un sanctuar nigerian critică decizia Turciei de a păstra un pui de gorilă salvat din trafic

Un sanctuar nigerian critică decizia Turciei de a păstra un pui de gorilă salvat din trafic

Redacția 25 oct.

Decizia Turciei de a păstra puiul de gorilă africană salvat de la trafic ”nu are nicio logică”, a declarat sâmbătă directoarea sanctuarului nigerian de faună sălbatică care se pregătea să-l primească pe Zeytin înaintea reîntoarcerii în habitatul său natural, informează AFP, citată de Agerpres. Primata a fost descoperită, pe când avea cinci luni, pe aeroportul […]

Cost per Wear: indicatorul economic care ar putea tempera moda ultra-fast

Cost per Wear: indicatorul economic care ar putea tempera moda ultra-fast

Redacția 25 oct.

Un nou studiu arată că aplicarea conceptului de Cost per Wear (CPW) – „costul per purtare” – ar putea schimba comportamentul consumatorilor și reduce atracția pentru hainele ieftine și de slabă calitate din zona fast fashion și ultra-fast fashion, conform Fashion United. De câțiva ani, activiștii de mediu și profesioniștii din modă privesc cu îngrijorare […]

Când nunta visurilor devine o povară: cum pot mirii și invitații să evite stresul financiar

Când nunta visurilor devine o povară: cum pot mirii și invitații să evite stresul financiar

Redacția 25 oct.

Nunta este, în esență, o celebrare a iubirii. Dar, pentru mulți invitați, înseamnă și o provocare financiară care adesea umbrește bucuria momentului, relatează AP News. Zboruri, hoteluri, ținute diferite pentru fiecare eveniment premergător, cadouri, petreceri de burlaci – toate acestea pot transforma invitația la nuntă într-un angajament costisitor. „Banii fac parte din modul în care […]

Premierul Bolojan, huiduit în Satu Mare, de Ziua Armatei: ”Eu sunt obişnuit cu aceste lucruri, n-am probleme din astea” / Două amenzi date de autorități

Premierul Bolojan, huiduit în Satu Mare, de Ziua Armatei: ”Eu sunt obişnuit cu aceste lucruri, n-am probleme din astea” / Două amenzi date de autorități

Redacția 25 oct. 2
Mesaje care ard cariere: cum smartphone-urile au devenit noua capcană a figurilor publice

Mesaje care ard cariere: cum smartphone-urile au devenit noua capcană a figurilor publice

Redacția 25 oct.

Pentru unii politicieni, pericolul cel mai mare nu mai vine dintr-o conferință de presă sau dintr-o cameră ascunsă ci chiar din palma lor, relatează AP News. În ultimele săptămâni, mai multe cariere politice americane au fost puse pe butuci din cauza mesajelor text nepotrivite, ofensatoare sau pur și simplu prost gândite. Un grup de tineri […]

Adio, Huan Huan și Yuan Zi: urșii panda de la Beauval se întorc acasă, în China

Adio, Huan Huan și Yuan Zi: urșii panda de la Beauval se întorc acasă, în China

Redacția 25 oct.

După 13 ani petrecuți în Franța, urșii panda giganți Huan Huan și Yuan Zi, vedetele Grădinii Zoologice Beauval, se pregătesc de o plecare emoționantă. În luna noiembrie, cei doi vor părăsi țara pentru a se întoarce în China, unde vor intra în „pensie”, o călătorie motivată de problemele de sănătate ale lui Huan Huan, relatează […]

„Hrănește răceala și înfometează febra” – mit sau adevăr?

„Hrănește răceala și înfometează febra” – mit sau adevăr?

Redacția 25 oct.

Este una dintre cele mai vechi „rețete populare” pentru zilele de boală: când ești răcit, mănâncă bine; când ai febră, nu te atinge de mâncare. Dar cât adevăr se ascunde, de fapt, în acest sfat transmis din generație în generație? Specialiștii spun că aproape deloc, conform The New York Times. „Probabil că este doar o […]

Ce trebuie să știi cu adevărat despre antidepresive

Ce trebuie să știi cu adevărat despre antidepresive

Redacția 25 oct.

Fapte, mituri și adevăruri despre unele dintre cele mai utilizate medicamente din America. Antidepresivele se numără printre cele mai prescrise medicamente din Statele Unite. Creșterea diagnosticelor de depresie și anxietate, accentuată în timpul pandemiei, a dus la o explozie a rețetelor, în special în rândul tinerilor, conform The New York Times.  Dar, în ciuda popularității […]

Ministrul Sănătăţii, întrebat dacă spitalele regionale vor fi gata în 2029:  Eu spun un ”da” ferm. Banii există. Deci trebuie să fii tâmpit ca politician sau ca ministru să blochezi un astfel de proiect

Ministrul Sănătăţii, întrebat dacă spitalele regionale vor fi gata în 2029: Eu spun un ”da” ferm. Banii există. Deci trebuie să fii tâmpit ca politician sau ca ministru să blochezi un astfel de proiect

Redacția 25 oct.
Fostul premier Ciolacu, artizanul celui mai mare deficit bugetar din UE: ”Marea problemă la Guvernul României este un deficit de empatie care va duce la o criză socială”

Fostul premier Ciolacu, artizanul celui mai mare deficit bugetar din UE: ”Marea problemă la Guvernul României este un deficit de empatie care va duce la o criză socială”

Redacția 25 oct. 1
Când timpul se schimbă: cum ne afectează ora de iarnă și de ce Europa nu se hotărăște să o oprească

Când timpul se schimbă: cum ne afectează ora de iarnă și de ce Europa nu se hotărăște să o oprească

Redacția 25 oct.

În fiecare toamnă, aproape ca un ritual, europenii își mută ceasurile înapoi cu o oră. Duminică, la ora 4 dimineața, România va reveni la ora oficială de iarnă, gestul mecanic care transformă brusc diminețile în luminoase și serile în întunecate. Pentru unii, schimbarea trece neobservată. Pentru alții, e un mic haos: somn fragmentat, nervozitate, o […]

„Boo!” — Arome șocante și prețuri usturătoare în punga de Halloween

„Boo!” — Arome șocante și prețuri usturătoare în punga de Halloween

Redacția 25 oct.

Vânzările de dulciuri de Halloween din acest an spun o poveste aparte despre America: o țară divizată, presată de inflație, dar încă dornică de mici plăceri și de câteva surprize, conform The New York Times. În ciuda prețurilor uriașe la ciocolată și a presiunilor economice, 2025 se anunță un an record pentru vânzările de dulciuri, […]

Au fost reluate zborurile directe între Pakistan şi Regatul Unit după o interdicţie de cinci ani

Au fost reluate zborurile directe între Pakistan şi Regatul Unit după o interdicţie de cinci ani

Redacția 25 oct.

Compania aeriană publică pakistaneză PIA a reluat sâmbătă zborurile directe spre Regatul Unit, după cinci ani în care acestea au fost suspendate din raţiuni de securitate aeriană, a anunţat un ministru pakistanez, informează agenția AFP, citată de Agerpres. Pakistan International Airlines (PIA) este prima companie pakistaneză care face acest lucru, după ce Londra a ridicat, […]

Sorin Grindeanu: Loialitatea într-o coaliţie nu exclude criticile. Nu suntem în Coreea de Nord

Sorin Grindeanu: Loialitatea într-o coaliţie nu exclude criticile. Nu suntem în Coreea de Nord

Redacția 25 oct. 2

Preşedintele interimar al PSD, Sorin Grindeanu a declarat, sâmbătă, în contextul tensiunilor pe subiectul legii pensiilor speciale, că loialitatea într-o coaliţie nu exclude criticile, pentru că „nu suntem în Coreea de Nord, să aplaudăm toţi şi nu ne-am transformat într-o sectă de adulatorii politicilor unora”, transmite Agerpres. „Avem o dată, 28 noiembrie, până la care […]

Suplimentele naturale trebuiau să îi facă mai sănătoși. În schimb, i-au îmbolnăvit

Suplimentele naturale trebuiau să îi facă mai sănătoși. În schimb, i-au îmbolnăvit

Redacția 25 oct.

Compuși populari precum turmericul și ashwagandha pot suprasolicita ficatul și provoca complicații grave de sănătate. Când Fernanda Thompson, o femeie de 40 de ani din Florida, a început să ia turmeric în 2020, credea că face un pas spre o viață mai sănătoasă. Pe internet, toată lumea spunea că acest condiment galben intens – ingredient […]

Trump denunţă un ”truc murdar”, după ce Canada retrage o campanie publicitară televizată împotriva taxelor vamale cu citate dintr-un discurs suţinut în 1987 de republicanul Reagan

Trump denunţă un ”truc murdar”, după ce Canada retrage o campanie publicitară televizată împotriva taxelor vamale cu citate dintr-un discurs suţinut în 1987 de republicanul Reagan

Redacția 25 oct. 1
Candidatul desemnat pentru funcţia de premier al Moldovei, Alexandru Munteanu, a început consultările pentru programul său de guvernare

Candidatul desemnat pentru funcţia de premier al Moldovei, Alexandru Munteanu, a început consultările pentru programul său de guvernare

Redacția 25 oct.

Candidatul desemnat pentru funcţia de premier al Republicii Moldova, Alexandru Munteanu, a început consultările publice privind elaborarea programului de guvernare, informează sâmbătă agenția MOLDPRES, preluată de Agerpres. Alexandru Munteanu a anunţat că a avut deja prima discuţie cu circa 100 reprezentanţi ai mediului de afaceri din Republica Moldova. El a subliniat că în urma acestor […]

Radu Moldovan: PSD are nevoie de un schimb de generaţii, riscă să bată rezultatul negativ din 2020 / Foarte mulţi mi-au spus: nu Grindeanu, fraţilor, e arogant. Poate că nu e cel mai simpatic politician şi nici cel mai sociabil, dar PSD are nevoie de o echipă

Radu Moldovan: PSD are nevoie de un schimb de generaţii, riscă să bată rezultatul negativ din 2020 / Foarte mulţi mi-au spus: nu Grindeanu, fraţilor, e arogant. Poate că nu e cel mai simpatic politician şi nici cel mai sociabil, dar PSD are nevoie de o echipă

Redacția 25 oct. 2
„I-au zburat dinții și au aterizat în spaghetele mele”: 10 povești horror de la prima întâlnire

„I-au zburat dinții și au aterizat în spaghetele mele”: 10 povești horror de la prima întâlnire

Redacția 25 oct.

O primă întâlnire este, prin definiție, imprevizibilă. Te vezi cu cineva pe care abia îl cunoști – sau, mai des, nu l-ai întâlnit niciodată. Conversația va curge natural sau va fi stânjenitoare? Va arăta ca în poze? Și… cum îl chema, totuși? Întâlnirile pot fi amuzante, indiferent de rezultat. Dar nimeni nu scapă de acel […]

Ministrul Sănătăţii, mesaj către personalul ATI: Renunţaţi la verighetă sau plecaţi din ATI! Pentru că acea verighetă poate omorî un om

Ministrul Sănătăţii, mesaj către personalul ATI: Renunţaţi la verighetă sau plecaţi din ATI! Pentru că acea verighetă poate omorî un om

Redacția 25 oct. 1

Ministrul Sănătăţii Alexandru Rogobete le-a cerut angajaţilor din secţiile de Anestezie şi Terapie Intensivă (ATI) să renunţe la bijuterii, verighete şi unghii false. Personalul ATI s-a opus şi a a demarat o companie intitulată: ”Nu renunţăm la verighetă”. Ministrul Sănătăţii a replicat: ”Ba renunţaţi la verighetă sau plecaţi din ATI! Pentru că acea verighetă poate […]

Poliția bavareză a confiscat milioane de euro în falsuri de artă semnate „Picasso”, „Rembrandt” și „Frida Kahlo”

Poliția bavareză a confiscat milioane de euro în falsuri de artă semnate „Picasso”, „Rembrandt” și „Frida Kahlo”

Redacția 25 oct.

Poliția din Bavaria a descoperit o rețea internațională de falsificatori de artă care ar fi produs și încercat să vândă lucrări atribuite unor maeștri precum Picasso, Rembrandt și Frida Kahlo. Operațiunea, desfășurată în Germania, Elveția și Liechtenstein, a dus la confiscarea unor tablouri și documente în valoare de milioane de euro, conform BBC. Potrivit autorităților, […]

Britney Spears spune că a fost folosită. Kevin Federline spune că ea are nevoie de ajutor

Britney Spears spune că a fost folosită. Kevin Federline spune că ea are nevoie de ajutor

Redacția 25 oct.

Britney Spears s-a privit în oglindă și, zâmbind, a apucat un aparat de tuns electric.Câteva clipe mai târziu, șuvițe din părul ei lung și celebru se prăbușeau pe podeaua unui salon din California de Sud. În afara ușilor, paparazzii surprindeau fiecare secundă a nopții care avea să devină una dintre cele mai notorii din istoria […]

Rusia, condamnată de CEDO pentru încălcarea drepturilor a cinci persoane din Transnistria

Rusia, condamnată de CEDO pentru încălcarea drepturilor a cinci persoane din Transnistria

Redacția 25 oct.

Curtea Europeană a Drepturilor Omului a condamnat Federaţia Rusă în patru cauze ce vizează cinci locuitori ai regiunii transnistrene, a informat vineri Radio Chişinău, citat de Agerpres. CEDO a constatat detenţii ilegale, maltratări şi încălcări ale libertăţii de circulaţie şi de exprimare, obligând Rusia să plătească despăgubiri totale de peste 100.000 de euro. Avocaţii asociaţiei […]

Misterul bărbatului elegant surprins de un fotograf AP la Luvru, după spectaculosul jaf de la muzeul parizian

Misterul bărbatului elegant surprins de un fotograf AP la Luvru, după spectaculosul jaf de la muzeul parizian

Redacția 25 oct.

Era, în aproape toate privințele, o fotografie obișnuită distribuită de Associated Press către mass-media. Aceasta arăta trei polițiști sprijinindu-se de o mașină argintie parcată în curtea Muzeului Luvru din Paris, la câteva ore după jaful îndrăzneț al unei colecții de bijuterii ale coroanei franceze, duminică, scrie New York Times. Dar apoi a fost observat bărbatul […]

Ministrul Sănătăţii: Pacientul cu arsuri de la cazul din Rahova se întoarce în ţară stabilizat / Va mai sta într-o secţie de chirurgie plastică, dar nu mai are nevoie de terapie intensivă pentru mari arşi

Ministrul Sănătăţii: Pacientul cu arsuri de la cazul din Rahova se întoarce în ţară stabilizat / Va mai sta într-o secţie de chirurgie plastică, dar nu mai are nevoie de terapie intensivă pentru mari arşi

Redacția 25 oct.
Gimnastică: Sabrina Voinea a căzut de pe bârnă şi s-a clasat pe locul 7, la Campionatul Mondial din Indonezia

Gimnastică: Sabrina Voinea a căzut de pe bârnă şi s-a clasat pe locul 7, la Campionatul Mondial din Indonezia

Redacția 25 oct.

Gimnasta Sabrina Maneca-Voinea s-a clasat pe locul 7, sâmbătă, în finală la bârnă, la Campionatul Mondial din Indonezia, după ce a căzut de pe aparat. Sportiva tricoloră va mai concura în finală la sol, alături de Denisa Golgotă, transmite News.ro. Sabrina Maneca-Voinea a fost notată cu 12.533, după ce în calificări obţinea 13.833. Pe podium […]

Armata ucraineană anunţă eliberarea satului Torske, important pentru apărarea oraşului Liman

Armata ucraineană anunţă eliberarea satului Torske, important pentru apărarea oraşului Liman

Redacția 25 oct.

Armata ucraineană a anunţat sâmbătă că a eliberat satul Torske, care este important pentru apărarea oraşului Liman, informează agenția dpa, citată de Agerpres. Până la 100 de soldaţi ruşi au fost ucişi şi numeroşi alţi soldaţi au fost capturaţi în timpul asaltului, a precizat Statul Major al armatei ucrainene pe Telegram. Informaţia nu a putut […]

Marcel Ciolacu cere sprijinul PSD Buzău pentru candidatura la preşedinţia Consiliului Judeţean

Marcel Ciolacu cere sprijinul PSD Buzău pentru candidatura la preşedinţia Consiliului Judeţean

Redacția 25 oct.

Partidul Social Democrat Buzău organizează, sâmbătă, Conferinţa Judeţeană Extraordinară pentru desemnarea delegaţilor care vor reprezenta organizaţia la Congresul Naţional al PSD, programat pe 7 noiembrie. Evenimentul se desfăşoară la Sala Mare a CJ Buzău în prezenţa preşedintelui interimar al partidului, Sorin Grindeanu, şi a fostului premier Marcel Ciolacu, care a revenit la Buzău şi intenţionează […]

Grindeanu: Armata Română are nevoie de investiţii serioase şi de o salarizare demnă de respectul pe care îl merită

Grindeanu: Armata Română are nevoie de investiţii serioase şi de o salarizare demnă de respectul pe care îl merită

Redacția 25 oct. 1

Preşedintele Camerei Deputaţilor, Sorin Grindeanu, lider al PSD, afirmă că militarii români sunt apreciaţi în structurile internaţionale în care activează, dar, pentru a-şi îmbunătăţi performanţele, Armata Română are nevoie de „investiţii serioase” şi de o salarizare „demnă de respectul pe care îl merită”, transmite Agerpres. Într-un mesaj transmis, sâmbătă, cu prilejul Zilei Armatei, Grindeanu aminteşte […]

Jaful de la Luvru: Procurorul are „o mică speranţă” de a recupera bijuteriile furate, datorită echipamentelor lăsate de hoţi / Anchetatorii francezi analizează peste 150 de probe de ADN, amprente şi alte urme

Jaful de la Luvru: Procurorul are „o mică speranţă” de a recupera bijuteriile furate, datorită echipamentelor lăsate de hoţi / Anchetatorii francezi analizează peste 150 de probe de ADN, amprente şi alte urme

Redacția 25 oct.
Gabriela Firea nu intră în cursa pentru Primăria Capitalei: Doresc să-mi continui mandatul de europarlamentar

Gabriela Firea nu intră în cursa pentru Primăria Capitalei: Doresc să-mi continui mandatul de europarlamentar

Redacția 25 oct. 7

Gabriela Firea a anunțat sâmbătă, într-un mesaj postat pe pagina sa de Facebook, că nu intră în cursa pentru Primăria București și că dorește să-și continue mandatul de europarlamentar. “”Candidezi? Intri în cursă? Te pregătești? Aceste tipuri de întrebări le primesc zilnic. Pentru ca lucrurile să fie limpezi, prefer să vorbesc eu despre situația mea. […]

Oamenii de ştiinţă testează o terapie experimentală pe bază pe oxitocină pentru încetinirea procesului de îmbătrânire

Oamenii de ştiinţă testează o terapie experimentală pe bază pe oxitocină pentru încetinirea procesului de îmbătrânire

Redacția 25 oct.

Un nou studiu oferă o perspectivă interesantă asupra unor potenţiale terapii care pot încetini procesul de îmbătrânire. Cercetătorii au explorat în experimente preclinice o strategie terapeutică cu două componente menită să contracareze schimbările biologice asociate vârstei, transmite News.ro. Oamenii de ştiinţă au descoperit că o combinaţie între oxitocină şi un inhibitor Alk5 poate prelungi semnificativ […]

Cântăreaţa Nelly Furtado a anunţat că îşi va întrerupe activitatea artistică „pe o perioadă nedeterminată”

Cântăreaţa Nelly Furtado a anunţat că îşi va întrerupe activitatea artistică „pe o perioadă nedeterminată”

Redacția 25 oct.

Nelly Furtado, cântăreaţa în vârstă de 46 de ani, cunoscută pentru piesa „Maneater”, a anunţat că îşi va întrerupe activitatea artistică „pe o perioadă nedeterminată, pentru a se dedica altor proiecte creative şi personale care consideră că se potrivesc mai bine cu următoarea etapă a vieţii sale”, transmite News.ro. Ea a postat în social media […]

Italianul Francesco Bagnaia va pleca din pole-position la Grand Prix-ul Malayisiei de MotoGP

Italianul Francesco Bagnaia va pleca din pole-position la Grand Prix-ul Malayisiei de MotoGP

Redacția 25 oct.

Italianul Francesco Bagnaia va porni din pole position în cursa sprint şi în Marele Premiu al Malaysiei, a 20-a etapă (din 22) a sezonului MotoGP, după ce a obţinut cel mai bun timp în calificările de sâmbătă, pe circuitul de la Sepang, transmite News.ro. Pilotul Ducati l-a devansat pe spaniolul Alex Marquez (Ducati-Gresini) şi pe […]

Regina mamă Sirikit a Thailandei, figură plină de carismă şi puternică a monarhiei, a murit la 93 de ani

Regina mamă Sirikit a Thailandei, figură plină de carismă şi puternică a monarhiei, a murit la 93 de ani

Redacția 25 oct.

Fosta regină Sirikit Kitiyakorn, soţia lui Bhumibol Adulyadej care a condus Thailanda timp de 70 de ani şi mama actualului monarh, a murit la vârsta de 93 de ani, schimbare de eră pentru puternica familie regală thailandeză, transmite agenția AFP, citată de Agerpres. Ea a murit vineri seara, a anunţat palatul într-un comunicat. Supranumită în […]

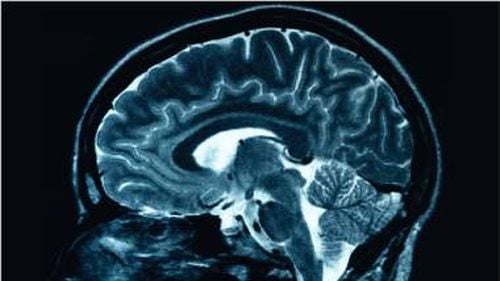
Creierul bărbaţilor se micşorează mai rapid decât al femeilor, arată un nou studiu despre Alzheimer

Creierul bărbaţilor se micşorează mai rapid decât al femeilor, arată un nou studiu despre Alzheimer

Redacția 25 oct.

Oamenii de ştiinţă au constatat că îmbătrânirea cerebrală este mai accelerată la bărbaţi decât la femei. Într-un recent studiu, cercetătorii explică de ce bărbaţii pierd mai rapid volum cerebral odată cu vârsta, indiferent dacă au sau nu Alzheimer, transmite News.ro. În anul 2021, 57 de milioane de persoane din întreaga lume sufereau de demenţă, iar […]

Catedrala Naţională, cea mai mare biserică ortodoxă din lume, va fi inaugurată duminică. Lăcaşul recordurilor

Catedrala Naţională, cea mai mare biserică ortodoxă din lume, va fi inaugurată duminică. Lăcaşul recordurilor

Redacția 25 oct. 3

Catedrala Naţională, cu o înălţime de 127 de metri, este cel mai înalt lăcaş de cult ortodox din lume. Coloanele sunt de inspiraţie brâncovenească, iar cupolele de inspiraţie bizantină. Edificiul a fost conceput înconjurat de un spaţiu care, văzut de sus, are formă de potir. Pictura monumentului este realizată în tehnica mozaicului pe 25.000 mp, […]

Moody's menţine ratingul Franţei la Aa3, dar a schimbat perspectiva de la stabilă la negativă

Moody’s menţine ratingul Franţei la Aa3, dar a schimbat perspectiva de la stabilă la negativă

Redacția 25 oct.

Agenţia de evaluare financiară Moody’s a menţinut vineri ratingul de credit al Franţei, modificând în acelaşi timp perspectiva de la „stabilă” la „negativă”, lansând astfel un avertisment acestei ţări, în plină dezbatere bugetară în parlament, relatează agenția AFP, citată de Agerpres. Moody’s a menţinut ratingul la Aa3 (datorie de grad investiţional), în timp ce concurenţii […]

Ceremonii militare şi religioase de Ziua Armatei României în principalele garnizoane din ţară, dar şi în bazele militare din afara ţării şi în teatrele de operaţii – Restricţii de trafic în Bucureşti / Programul manifestărilor

Ceremonii militare şi religioase de Ziua Armatei României în principalele garnizoane din ţară, dar şi în bazele militare din afara ţării şi în teatrele de operaţii – Restricţii de trafic în Bucureşti / Programul manifestărilor

Redacția 25 oct.
Sancţiunile SUA blochează livrările de petrol pentru compania rusă NIS / Singura rafinărie din Serbia riscă să fie oprită

Sancţiunile SUA blochează livrările de petrol pentru compania rusă NIS / Singura rafinărie din Serbia riscă să fie oprită

Redacția 25 oct.

Sancţiunile impuse de Statele Unite companiei petroliere ruse NIS au împiedicat livrarea unui transport de ţiţei esenţial pentru Serbia, care se confruntă cu riscul opririi unicei sale rafinării de la Pancevo, potrivit unor surse citate de Reuters, transmite News.ro. Sursele, care au solicitat anonimatul din cauza sensibilităţii situaţiei, au declarat că Serbia mai are doar […]

Atac cu rachete asupra Kievului, cel puţin opt răniţi

Atac cu rachete asupra Kievului, cel puţin opt răniţi

Redacția 25 oct. 1

Mai multe cartiere din Kiev au fost lovite sâmbătă de atacuri cu rachete ruseşti, soldate cu cel cel puţin opt răniţi şi mai multe incendii, potrivit autorităţilor locale ucrainene, relatează agenția AFP, citată de Agerpres. „Explozii în capitală. Oraşul este sub atac balistic. Vă rugăm să mergeţi la adăposturi”, a scris primarul capitalei, Vitali Kliciko, […]